- News
Christien Ford President Flanagan asked to take pay cut at town hall regarding administrative restructuring
A town hall focusing specifically on administrative restructuring outlined how university services might be rethought in the face of budget…
Read More » - News
Rachel Narvey East Asian Studies students petition university as potential merger looms
East Asian Studies (EASIA) students have written a pro-active petition expressing their concern over a potential departmental merger during the…
Read More » - News
Helen Zhang Notes from Council: council discusses academic restructuring and ISA status as SRA
“Notes from Council” is The Gateway’s ongoing series of recaps of noteworthy items from Students’ Council meetings. Agarwal addresses academic…
Read More » - News
Christien Ford U of A students rally in support of universal basic income
As advocates of universal basic income (UBI) rallied this past weekend, University of Alberta students in attendance spoke about what…
Read More » - News
Rachel Narvey USydney staff share grim experience with academic restructuring amid U of A’s similar plans
Workers at the University of Sydney (U of S) warn that if academic restructuring at the University of Alberta is…
Read More » - News
Rosty Soroka 13 U of A researchers receive funding for COVID-19 vaccine research
While social distancing measures loosen across Canada, researchers at the University of Alberta are becoming involved in projects to study…
Read More » - News
Helen Zhang Notes from Council: the role of refugees in ISA and using instagram for disclosing campus sexual violence
“Notes from Council” is The Gateway’s ongoing series of recaps of noteworthy items from Students’ Council meetings. Questions about refugee’s…
Read More » - News
Supplied University of Alberta design student creates augmented reality game to help cure fear of spiders
As summer weather brings spiders out to play, a University of Alberta design student created a way for individuals to…
Read More » - News
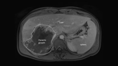
Supplied by Stan Houston Rare liver parasite gradually affecting more Albertans
While public health concerns have centred on the coronavirus lately, the spread of a rare parasite has been on the…
Read More »









